Lidl Italia mette al centro le persone e riceve riconoscimento di ‘Top employer 2024’
(Adnkronos) - Per Lidl Italia, catena di supermercati con oltre 730 punti vendita su tutto il territorio nazionale, la creazione di un ambiente di...
Il freddo estremo blocca le Tesla, decine di auto abbandonate per le strade di...
(Adnkronos) -
Tesla abbandonate a Chicago perché le batterie non si ricaricano a causa del freddo estremo. I proprietari hanno dovuto lasciare le loro...
Tragico incidente sulla Pontina, morti 2 giovani
(Adnkronos) - Due giovani sono morti e altri sei sono rimasti feriti nell'incidente tra due auto avvenuto, la notte scorsa, sulla via Pontina all'altezza...
Bahamas, bambino di 10 anni attaccato da squalo in piscina resort
(Adnkronos) - Un bambino di 10 anni è stato attaccato alle Bahamas da uno squalo all'interno di una piscina di un resort nella quale...
Fiorello con il Papa sul sesso: “Il piacere è un dono di Dio, l’ho...
(Adnkronos) - Le ultime dichiarazioni di Papa Francesco sul sesso riprese da Fiorello nella puntata di oggi di 'VivaRai2!'. Ieri il Pontefice ha affrontato...
Stanza segreta di Michelangelo, altri 3 mesi di visite
(Adnkronos) - Altri tre mesi per visitare la stanza segreta di Michelangelo al Museo delle Cappelle Medicee a Firenze. Ha dato esito positivo la...
Sonego fuori dagli Australian Open, ko con Alcaraz in quattro set
(Adnkronos) - Lorenzo Sonego si ferma al secondo turno degli Australian Open di tennis, primo Slam della stagione. L'azzurro, numero 46 dell'Atp, è stato...
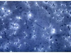
Infertilità maschile, dietro c’è gene mancante: spermatozoi sono ‘sconnessi’
(Adnkronos) - Un gene mancante. Potrebbe essere l'assenza di una proteina strategica a spiegare l'infertilità maschile. Un'assenza che ha conseguenze sugli spermatozoi, i quali...
Scuola, al via da oggi 18 gennaio iscrizioni anno 2024/25: cosa c’è da sapere
(Adnkronos) - Al via da oggi, giovedì 18 gennaio, e fino al 10 febbraio, le iscrizioni per il prossimo anno scolastico 2024/2025. Anche quest’anno,...
Ex Ilva, protesta all’indotto di Taranto: “Senza risposte sarà blocco totale”
(Adnkronos) - È’ iniziata questa mattina alle 6 la protesta delle aziende dell'indotto di Taranto che fanno capo ad Aigi, Casartigiani e Confapi contro...











































